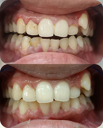
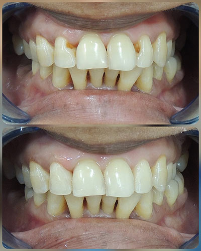
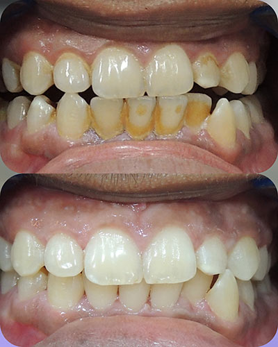
A Better Life Starts with A Beautiful Smile
Your visit is just an appointment away ! Experience the best and modern dental care services.